Advance course 上肢では
このようなコンテンツを閲覧できます
鳥口肩峰靭帯(CAL)の正常値・異常値
志水
肩峰下インピンジメント症候群では烏口肩峰靭帯(CAL)に圧が加わりやすいと言われています.(Neer.1972.Mustafa.2000)
そのため、CALの正常な"長さ"や"厚み"を知ることは重要です。
そのため、CALの正常な"長さ"や"厚み"を知ることは重要です。
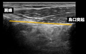
CALは烏口突起から肩峰に向かって走行しますが
ここではこの鳥口肩峰靭帯の位置と、プローブの置く場所を確認し
実際の画像を見てみましょう↓
プローブの位置
エコー画像
ここで、
健常成人と腱板断裂肩症例の
CALを比較した研究を紹介します
この研究では、CALが短いと腱板断裂のリスクファクターになるといった考察をしていました。
しかし…
- "体格差"の補正がされていない
- 肩峰に骨棘ができることで距離は短くなる可能性もある
- CAL形状別では検討していない(CALは形状が5パターンあるといわれています)
ということもあるので、ここの距離が"短い"からといって、"腱板断裂が生じやすい"と思いこむことは危険です。注意してくださいね。
志水
比較的描出し安い部位なので、練習すれば結構すぐにできるようになると思います^_^
ここではたった2つを例にだしましたが…
Advance course では
このようなコンテンツが現在80以上あります(2020.8月時点)
このようなコンテンツが現在80以上あります(2020.8月時点)
\上肢のエコー知識や技術の最高レベルはこちら/
上肢コンテンツ



